El síndrome remitting seronegative symmetrical synovitis with pitting edema (RS3PE) fue descrito por McCarty et al. en 19851. Hace referencia a un cuadro clínico, de etiología desconocida, propio de personas de edad avanzada, que cursa con una poliartritis aguda y simétrica acompañada de intenso edema en las manos y los pies. Responde a dosis bajas de corticoides y su pronóstico suele ser favorable. Por tanto, tradicionalmente ha sido considerada como una enfermedad benigna, aunque en los últimos años han cobrado importancia las formas asociadas a otras afecciones, especialmente neoplásicas.
Presentamos un síndrome RS3PE asociado a un carcinoma de vejiga cuya concomitancia ha sido poco descrita hasta la fecha.
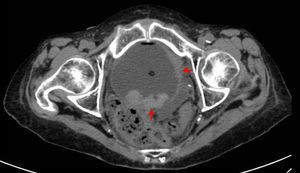
Mujer de 72 años, sin antecedentes reumatológicos de interés, que acudió a la consulta de Reumatología por dolor nocturno y rigidez matutina en manos y pies, de un mes de evolución, acompañados de edema difuso, fóvea e impotencia funcional. No presentaba síndrome constitucional, clínica de arteritis de la temporal, aftas, uveítis o lesiones cutáneas. En la analítica destacaban: velocidad de sedimentación globular de 120mm, proteína C reactiva de 111mg/l y hemoglobina de 8,6mg/dl. El factor reumatoide, los anticuerpos contra péptidos citrulinados y el HLA B27 fueron negativos. No se hallaron alteraciones en el proteinograma, las inmunoglobulinas y la orina de 24 h. El estudio radiológico de manos y pies solo detectó artrosis interfalángica distal de las manos y un aumento de las partes blandas en manos y pies. Con los datos anteriores y aplicando los criterios de Olivo2 fue diagnosticada de síndrome RS3PE. Se inició tratamiento con prednisona (10mg/día) y antiinflamatorios no esteroideos por la noche; tras 4 semanas de escasa mejoría, se añadió hidroxicloroquina (2/día), mejorando progresivamente. A los 3 meses, desapareció la sintomatología y se normalizaron los reactantes de fase aguda. Teniendo en cuenta el posible contexto paraneoplásico, se solicitó una radiografía de tórax, en la que no se detectaron anomalías, y una ecografía abdominal, en la que se halló una tumoración vesical que fue confirmada en la tomografía computarizada toraco-abdominal (fig. 1). Se realizó cistoscopia con toma de biopsias de la lesión. La anatomía patológica informó de un carcinoma de células transicionales con infiltración de la pared muscular y en la gammagrafía ósea no objetivaron metástasis. Desde el punto de vista reumático, la paciente fue respondiendo peor al tratamiento propuesto. A nivel general, el severo y rápido deterioro clínico contraindicó la cistectomía radical y la paciente falleció a los 5 meses del diagnóstico reumatológico.
El síndrome RS3PE o poliartritis edematosa del adulto3 aparece con mayor frecuencia en varones de edad avanzada. Su etiología es desconocida pero algunos autores la relacionan con: predisposición genética (HLA-B7 y HLA-A2), agentes infecciosos, factores de crecimiento (factor de crecimiento endotelial vascular) o mediadores como la interleucina-6 o el factor de necrosis tumoral alfa liberados por ciertos tumores4. Los reactantes de fase aguda suelen estar incrementados y no ocasiona lesiones óseas en los estudios radiológicos. El diagnóstico es clínico y suelen aplicarse los criterios propuestos por Olivo2: edad>65 años, factor reumatoide negativo, polisinovitis aguda simétrica afectando a muñecas, metacarpofalángicas, interfalángicas proximales y vainas tendinosas de los extensores de las manos, edema en «piel de naranja» con fóvea en las zonas afectadas, rigidez matutina, respuesta rápida al tratamiento esteroideo y exclusión de otras enfermedades. El diagnóstico diferencial debe realizarse con otros cuadros reumáticos, especialmente la artritis reumatoide y espondiloartritis de inicio del anciano, la polimialgia reumática, la arteritis de la temporal y la condrocalcinosis5,6. El tratamiento se basa en corticoides a dosis bajas y, a veces, antipalúdicos de síntesis6. En los últimos años ha quedado en entredicho su naturaleza benigna y se ha asociado a neoplasias digestivas, ginecológicas, nefrourológicas y hematológicas7,8. Rusell describe en EE. UU. una incidencia algo mayor de cáncer en estos pacientes y recientes trabajos indican un riesgo adicional respecto a una población de características similares9,10. Por ello, creemos importante incidir en la búsqueda sistemática de un contexto paraneoplásico en este síndrome.




