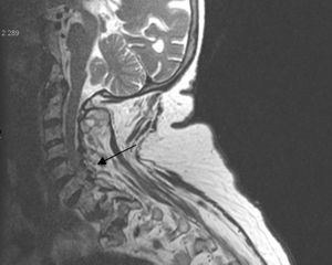
La afectación del esqueleto axial por condrocalcinosis ha estado asociada a depósitos cálcicos en disco intervertebral, ligamento amarillo, articulaciones facetarias e incluso articulaciones sacroilíacas. La calcificación del ligamento transverso del atlas (figs. 1-3) es una manifestación menos frecuente y se ha denominado síndrome de Crown Dens; constituye un cuadro clínico asintomático en la mayoría de las ocasiones, pero también puede estar asociado con brotes agudos de dolor cervical, rigidez y fiebre con las connotaciones de dificultad diagnóstica añadidas en estos casos.
Presentamos el caso de una mujer de 82 años que consulta por dolor cervical intenso, mal controlado con analgésicos. Como antecedentes de interés destaca la presencia de una fibrilación articular anticoagulada, espondiloartrosis y condrocalcinosis radiológica en rodillas. En la exploración realizada destaca un dolor espontáneo en la región cervical, irradiado a la región occipital y mastoidea, con rigidez y bloqueo doloroso a la movilización del cuello y sin alteraciones neurológicas.
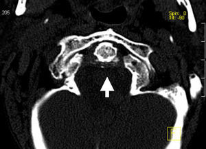
En los estudios radiológicos realizados destaca la aparición de una espondiloartrosis cervical y calcificaciones en el ligamento transverso del atlas y ligamentos alares a nivel de la articulación atlo-axoidea (fig. 4).
El síndrome de Crowned Dens fue descrito por primera vez en 1985 por Bouvet et al1,2. El diagnóstico se basa en la asociación de un cuadro clínico compatible y unos hallazgos en las pruebas de imagen, fundamentalmente depósitos cálcicos en ligamentos de la articulación atlo-axoidea, visibles en la TC3,4.
El conocimiento de esta entidad tiene importancia en determinados casos donde puede resultar difícil realizar el diagnostico diferencial con infecciones neurológicas, polimialgia reumática, arteritis de células gigantes, etc.







