Mujer de 27 años de edad, con diagnóstico de lupus eritematoso sistémico (LES) de 2 meses de evolución, con manifestaciones hematológicas (linfopenia y trombocitopenia), mucocutáneas (caída de cabello y eritema malar), articulares y serositis (derrame pericárdico y pleural), con anticuerpos antinucleares (AAN) positivos 1:1.280 patrón moteado fino, anti-DNA nativo positivos >250U/ml, anti-Ro y anti-Sm positivos. Se trató con prednisona, 40mg al día, y azatioprina, 100mg al día desde un mes antes. Acudió por edema facial y bimaleolar, sin disnea.
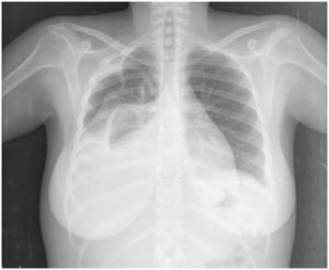
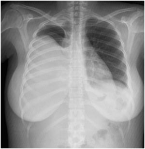
Se documentó derrame pleural derecho masivo (figs. 1–3), se realizó toracocentesis diagnóstica y terapéutica. Se obtuvo líquido pleural clasificado como exudado, con anticuerpos anti-DNA nativo positivos >250U/ml, y cultivos para bacterias, hongos y micobacterias negativos, con citología negativa para células malignas.
Se concluyó derrame pleural masivo secundario a actividad lúpica, y se trató con prednisona en dosis de 1mg/kg de peso y furosemida, con lo que se logró mejoría.
La prevalencia de serositis en la enfermedad es del 12%2. Los derrames pleurales en LES suelen ser pequeños y bilaterales, rara vez son masivos como en este caso2. Son exudados con glucosa normal, con polimorfonucleares en padecimientos agudos y linfocitos en crónicos, proteínas >3,5g/dl y niveles de DHL inferiores a los encontrados en artritis reumatoide, en los que se encuentran cifras mayores de 1.000U/l6,7. Se ha informado la presencia de AAN, anticuerpos anti-DNA y células LE en líquido pleural1,8,9.
Los títulos elevados de AAN en líquido pleural (>1:640) raramente se observan en enfermedades diferentes a LES3–5. Los títulos negativos o bajos de AAN y anti-DNA en líquido pleural sugieren otro diagnóstico.
Se deben descartar otras causas del derrame pleural como infección, embolismo pulmonar, falla cardíaca, síndrome nefrótico o malignidad, antes de emitir un diagnóstico final9. En este caso, el derrame pleural se resolvió sin requerir pleurodesis10.






