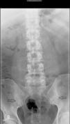
Varón de 44 años con antecedente de ingesta enólica. Acude a la consulta por episodios de mono/oligoartritis en manos y tobillos recurrentes de una semana de duración desde hacía 5 años, y lumbalgia inflamatoria de 10 años de evolución, con dolor alternante en nalgas. No refería otra sintomatología acompañante. A la exploración destacaba la presencia de artritis en carpo derecho, 4.ª y 5.ª IFP mano izquierda junto con nódulos acompañantes. En la analítica se objetivó una uricemia de 13,2mg/dl, VSG 44mm/h (0-20), PCR 15mg/l (<5mg/l) y prueba de Mantoux de 20mm. El resto de parámetros (hemograma, TSH, CPK, factor reumatoide, HLA-B27, anticuerpos anti-citrulinados, inmunoglobulinas, serología de virus hepatotropos, HIV, lues, Brucella, función renal, hepática, sedimento de orina y uricosuria de 24h) fueron normales. Se realizaron radiografías de tórax, manos y pies sin hallazgos patológicos. En la radiografía de columna lumbar (fig. 1) se objetivó una sacroileítis grado II derecha y grado III izquierda. Se completó el estudio con resonancia magnética (RM) de columna lumbar que fue normal y RM de sacroilíacas (fig. 2) donde se objetivaron irregularidades y erosiones en ambas articulaciones sacroilíacas en secuencia T1. En secuencia STIR, se detectó una edema de médula ósea subcondral más acentuado en hueso ilíaco y en la sacra izquierda, y con menor afectación de la sacroilíaca derecha.
RM de sacroilíacas corte semicoronal en secuencia T1 y STIR. A) En secuencia T1 apréciese las irregularidades y erosiones en hueso subcondral de ambas articulaciones sacroilíacas, con esclerosis focal en sacroilíaca izquierda. B) En secuencia STIR, se detecta una señal hiperintensa correspondiente a edema de médula ósea subcondral (flechas) más acentuado en hueso ilíaco y a la sacra izquierda, y con menor afectación en segmento anterosuperior de sacroilíaca derecha, compatible con sacroileítis activa.
Se realizó una artrocentesis de líquido sinovial (LS) de la articulación 5.ª IFP mano izquierda y nódulo, objetivando cristales de urato monosódico (UMS) en microscopio de luz polarizada, con cultivo negativo. Se diagnosticó de artritis gotosa tofácea crónica. Se iniciaron medidas dietéticas y tratamiento médico con alopurinol (300mg/d) y colchicina 1mg al día. Por otro lado, debido a la coexistencia en este paciente de lumbalgia inflamatoria, junto con sacroileítis bilateral radiográfica, presencia de lesiones de sacroileítis activa por RM según criterios ASAS1 y una RM de columna lumbar normal, decidimos realizar diagnóstico diferencial con otras enfermedades como las espondiloartritis (el paciente no tenía antecedentes familiares de psoriasis ni enfermedad inflamatoria intestinal) y procesos infecciosos. Para ello, se realizó biopsia de la articulación sacroilíaca, donde se visualizaron tofos intraóseos (fig. 3A y B) y cristales de UMS. Actualmente, el paciente se encuentra asintomático, con disminución de los tofos y los niveles de uricemia a 5,6mg/dl, tras 5 meses de tratamiento.
DiscusiónLa gota es una enfermedad crónica producida por el depósito de cristales de UMS en zonas articulares, peri-articulares, subcutáneas y, aunque más infrecuente, en bursas y tendones. Su prevalencia en los países occidentales se estima en torno al 1-2%2.
Hasta hace poco tiempo se pensaba que la gota espinal era una entidad poco frecuente, sin embargo algunos estudios muestran una prevalencia de hasta un 35% de los pacientes afectos de gota cuando se realiza una búsqueda activa de casos con técnicas de imagen sofisticadas3–5. Este tipo de afectación es rara en pacientes menores de 45 años, como el caso presentado6. La columna lumbar es la zona más frecuentemente afectada3–6, siendo la articulación sacroilíaca más infrecuente en torno a un 7,5-17%7,8. Existen en la literatura varias publicaciones sobre la afectación axial en la gota, y como factores predisponentes se han propuesto la gota de larga evolución, la enfermedad degenerativa discal y el trasplante renal3–13.
Por tanto, ante un paciente con sacroileítis debemos realizar siempre diagnóstico diferencial. Las causas más frecuentes de sacroileítis unilateral son las infecciosas, traumáticas o metastásicas. Entre la afectación bilateral asimétrica, debemos sospechar la artritis psoriásica, artrosis o espondiloartritis asociada a enfermedad inflamatoria intestinal. En cuanto a la afectación bilateral simétrica, la causa más frecuente es la espondilitis anquilosante (EA). Por ello, en este paciente se realizó un diagnóstico diferencial entre la sacroileítis por gota, debido a sus antecedentes, y la EA. Ambas enfermedades se manifiestan con lumbalgia inflamatoria, aunque en la gota el inicio suele ser más brusco respecto de la EA que es más insidioso. En el laboratorio es típico en ambos casos la elevación de reactantes de fase aguda, y el HLA-B27 puede ser negativo hasta en un 10% de los casos de EA10. En cuanto a hallazgos radiológicos encontraremos irregularidades y erosiones yuxtaarticulares a nivel de sacroilíacas, tanto en la gota como en la EA. La RM en la gota axial no es específica3,13–15. Todo ello, dificulta el diagnóstico, requiriendo en algunos casos la realización de una biopsia articular, como en el caso presentado.
El manejo terapéutico de la sacroileítis por gota es el mismo que el utilizado en otras localizaciones14.
En conclusión, la sacroileítis por gota, aunque es rara, debe ser incluida en el diagnóstico diferencial de los pacientes con lumbalgia inflamatoria, sobre todo en pacientes con factores de riesgo para enfermedad por depósito de cristales UMS.
Responsabilidades éticasProtección de personas y animalesLos autores declaran que para esta investigación no se han realizado experimentos en seres humanos ni en animales.
Confidencialidad de los datosLos autores declaran que han seguido los protocolos de su centro de trabajo sobre la publicación de datos de pacientes.
Derecho a la privacidad y consentimiento informadoLos autores han obtenido el consentimiento informado de los pacientes y/o sujetos referidos en el artículo. Este documento obra en poder del autor de correspondencia.
Conflicto de interesesLos autores declaran no tener ningún conflicto de intereses






