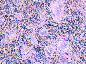
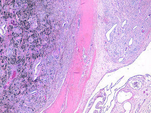
A 72-year-old woman who had undergone unicompartmental arthroplasty in right knee 12 years earlier, presented with a 6-month history of pain in that knee, in the absence of fever or systemic symptoms. On physical examination, the knee was found to be swollen. Radiography revealed a prosthesis in the medial compartment, which remained unchanged since the partial knee replacement (Fig. 1). Arthrocentesis yielded a dark fluid (Fig. 2) with 150 white blood cells/μL (75% polymorphonuclear cells), glucose level at 90mg/dL and proteins at 2mg/dL. Culture of the joint fluid was negative. With the suspicion of metallosis, the patient was referred to the orthopedics department and underwent total knee replacement. The pathological study of a specimen of synovial tissue showed macrophages with a blackish pigment in the cytoplasm and lymphocytes (Figs. 3 and 4). At the present time, the patient is asymptomatic.
Metallosis is defined as a corrosion due to the erosion of metallic components, which produces particles that induce a hypersensitivity reaction. It is generally asymptomatic and the development of pain or stiffness is due to the secondary loosening of the prosthesis.1 It may be suspected when lobulated osteolytic areas, with or without increased volume of the adjacent soft tissues, are detected on plain radiography. The differential diagnosis should include aseptic dislocation of the prosthesis and septic arthritis.2 Macroscopic examination shows a black pigmentation of the joint, together with a dark-colored synovial fluid. A microscopic study reveals metallic particles, either free or engulfed by macrophages, with a lymphocytic infiltrate that suggests an immune response.3 Treatment consists in replacement of the prosthesis and performance of synovectomy for the purpose of eliminating the metallic particles.3
Since it is not uncommon for patients who have undergone arthroplasty to consult their rheumatologists because of pain, metallosis must be taken into account. On the other hand, we should point out that this condition is extremely rare in unicompartmental knee arthroplasties.4
Ethical disclosuresProtection of human and animal subjectsThe authors declare that the procedures followed were in accordance with the regulations of the relevant clinical research ethics committee and with those of the Code of Ethics of the World Medical Association (Declaration of Helsinki).
Confidentiality of dataThe authors declare that they have followed the protocols of their work center on the publication of patient data.
Right to privacy and informed consentThe authors have obtained the written informed consent of the patients or subjects mentioned in the article. The corresponding author is in possession of this document.
Conflicts of interestThe authors declare they have no conflicts of interest.
Please cite this article as: Pescador D, Calero-Paniagua I, Sánchez-González MD, Montilla C. Metalosis como causa de dolor e inflamación en un paciente con prótesis de rodilla: descripción de un caso. Reumatol Clin. 2016;12:112–113.







