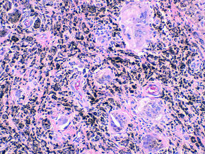
Mujer de 72años, con antecedentes de artroplastia unicameral de rodilla derecha desde hacía 12años, que acude a nuestra consulta por dolor en dicha rodilla de 6meses de evolución, sin fiebre ni síntomas sistémicos. En la exploración física se objetivó tumefacción de dicha rodilla. La radiografía mostró prótesis parcial en el compartimento medial, sin alteraciones (fig. 1). Se realizó artrocentesis, obteniendo un fluido oscuro (fig. 2), con 150 células (75% polimorfonucleares), glucosa 90mg/dl, proteínas 2mg/dl. El cultivo del líquido articular fue negativo. Con la sospecha de metalosis, la paciente fue derivada a la consulta de traumatología, y la prótesis fue sustituida por una prótesis total. Una muestra de tejido sinovial fue enviada a anatomía patológica, mostrando macrófagos con pigmento negruzco en su citoplasma y linfocitos (figs. 3 y 4). Actualmente la paciente se encuentra asintomática.
La metalosis se define como una corrosión debida a la erosión de los componentes metálicos, que producen partículas que inducen una reacción de hipersensibilidad. Generalmente es asintomática y la aparición de dolor o rigidez se debe al aflojamiento secundario de la prótesis1. Su sospecha puede surgir al apreciar zonas osteolíticas lobuladas con o sin aumento de los tejidos blandos adyacentes en la radiografía simple, debiendo realizarse diagnóstico diferencial con movilización aséptica de la prótesis y con artritis séptica2. Macroscópicamente aparece una pigmentación negruzca de la articulación junto con un líquido sinovial oscuro. Microscópicamente podemos apreciar partículas metálicas, ya sean libres o absorbidas por macrófagos, con un infiltrado linfocitario que sugiere una respuesta inmune3. El tratamiento consiste en el reemplazo de la prótesis y la realización de una sinovectomía con el fin de eliminar las partículas metálicas3.
No es raro que pacientes con artroplastias consulten al reumatólogo por dolor, por lo que hay que tener en cuenta esta entidad. Por otro lado, hay que destacar el hecho de que la metalosis es una circunstancia extremadamente rara en artroplastias unicamerales4.
Responsabilidades éticasProtección de personas y animalesLos autores declaran que los procedimientos seguidos se conformaron a las normas éticas del comité de experimentación humana responsable y de acuerdo con la Asociación Médica Mundial y la Declaración de Helsinki.
Confidencialidad de los datosLos autores declaran que han seguido los protocolos de su centro de trabajo sobre la publicación de datos de pacientes.
Derecho a la privacidad y consentimiento informadoLos autores han obtenido el consentimiento informado de los pacientes y/o sujetos referidos en el artículo. Este documento obra en poder del autor de correspondencia.
Conflicto de interesesLos autores declaran no tener ningún conflicto de intereses.







