El síndrome de Haglund es una causa de atrapamiento tendino-bursal posterior del talón, producida por una exostosis posterosuperior del calcáneo, denominada deformidad de Haglund, asociada a tendinitis aquílea y bursitis retrocalcánea. Su patogenia es desconocida. Se presentan 2 casos, diagnosticados clínicamente, confirmados radiológicamente, y tratados conservadoramente uno y con cirugía el otro. El diagnóstico se realiza por la clínica y por las imágenes radiológicas con el método de medición de las líneas de inclinación paralelas, en una radiografía lateral del tobillo. El tratamiento inicial suele ser conservador e incluye antiinflamatorios o analgésicos, fisioterapia y zapatos con talón abierto y sin tacón alto. Si el tratamiento conservador no alivia el dolor, puede ser necesaria la cirugía.
Haglund's syndrome produces posterior impingement of the heel, which is caused by a posterosuperior calcaneal exostosis, known as Haglund's deformity, associated with Achilles tendinitis and retrocalcaneal bursitis. Its pathogenesis is unknown. We report two cases that were diagnosed clinically and confirmed radiographically. One patient was treated conservatively and the other underwent surgery. The diagnosis is based on clinical signs and radiological images, using the measurement of the parallel pitch lines, in a lateral radiograph of the ankle. Initial treatment is usually conservative and includes anti-inflammatory or analgesic agents, physiotherapy and low-heeled, open-heeled shoes. If conservative treatment does not relieve the pain, surgery may be necessary.
El síndrome de Haglund fue descrito por primera vez en 1928 por Patrick Haglund. Es una causa de atrapamiento tendino-bursal del talón, producida por una exostosis posterosuperior del calcáneo (deformidad de Haglund) acompañada de tendinitis aquílea y bursitis retrocalcánea1–3.
Aunque su patogenia es desconocida, se han descrito factores mecánicos predisponentes como el calzado ajustado, el tacón alto de las damas, arco plantar aumentado, tendón de Aquiles demasiado tenso, y las situaciones que favorecen la fricción entre el tendón y el hueso2.
El diagnóstico diferencial debe hacerse con la xantomatosis, espondiloartropatías seronegativas, artritis gotosa y reumatoide2,3.
Observación clínicaCaso 1Mujer de 37 años, con dolor en región aquílea del pie derecho desde hace 10 meses, que empeora con la actividad. En la exploración física destacaba engrosamiento del tendón de Aquiles con dolor a la palpación, el balance articular del tobillo y pie estaba conservado, la maniobra de Thompson fue negativa. En la radiografía lateral del tobillo se apreciaba una tumefacción del tejido blando en el tercio distal del tendón de Aquiles y una prominencia posterosuperior del calcáneo. La ecografía mostraba un tendón de Aquiles hipoecoico, calcificación en su inserción en calcáneo e imágenes hipoecoicas en el espesor de la grasa de Kager. Mediante tratamiento de fisioterapia, la sintomatología desapareció.
Caso 2Mujer de 62 años, intervenida de síndrome de Haglund mediante bursectomía retrocalcánea y osteotomía de la deformidad de Haglund, acude a nuestra consulta 5 meses tras la intervención, con escasa mejoría de la sintomatología. Presentaba inflamación y dolor en tercio distal del tendón de Aquiles, dificultad para la flexión dorsal del tobillo y marcha claudicante. Tras tratamiento con fisioterapia, la sintomatología remitió de forma parcial.
DiscusiónEl síndrome de Haglund es una causa de dolor en el retropié de origen mecánico. Existen varias teorías sobre su patogenia, algunos autores señalan como causa la contracción continuada del tríceps sural, que produce un atrapamiento del tendón aquíleo y la bursa retrocalcánea contra la exostosis posterosuperior del calcáneo4. Otros autores apuntan a que el proceso comienza por una compresión externa en el talón, que comprimiría la bursa retroaquílea contra la parte posterior del calcáneo, con lo que la tuberosidad calcánea aumentaría de tamaño como respuesta a esta irritación crónica, y esta tuberosidad a su vez comprimiría la bursa y el tendón aquíleo, provocando un círculo vicioso2,5.
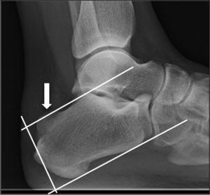
El diagnóstico se realiza por la clínica y por las imágenes radiológicas con el método de medición de las líneas de inclinación paralelas (parallel pitch lines [PPL]), en una radiografía lateral del tobillo. Este método consiste en trazar una línea tangente a la superficie inferior del calcáneo, y otra paralela a esta en la cara superior, a la altura del punto más alto de la cara posterior de la superficie de la articulación subastragalina. Si la tuberosidad supera esta línea se considera deformidad de Haglund (fig. 1)2,5. En algunos casos el diagnóstico se puede completar con ecografía o RMN2,6.
El tratamiento inicial debe ser conservador, evitando calzado ajustado o de tacón alto, utilizando ortesis plantares, antiinflamatorios orales, infiltraciones peritendinosas con corticoides y fisioterapia3,7. Si no hay respuesta al tratamiento conservador estaría indicada la cirugía, la técnica más utilizada es la bursectomía retrocalcánea con osteotomía de la deformidad de Haglund, habiéndose demostrado el abordaje central del tendón una técnica segura y eficaz7–10.
ConclusiónEl síndrome de Haglund es una causa de dolor en retropié que debe tenerse en cuenta en el diagnóstico diferencial. Se debe sospechar ante los hallazgos clínicos característicos y confirmarse con las pruebas radiológicas para realizar un diagnóstico adecuado. El tratamiento conservador médico-rehabilitador debe ser la primera opción terapéutica antes de la cirugía.
Responsabilidades éticasProtección de personas y animalesLos autores declaran que los procedimientos seguidos se conformaron a las normas éticas del comité de experimentación humana responsable y de acuerdo con la Asociación Médica Mundial y la Declaración de Helsinki.
Confidencialidad de los datosLos autores declaran que han seguido los protocolos de su centro de trabajo sobre la publicación de datos de pacientes.
Derecho a la privacidad y consentimiento informadoLos autores declaran que en este artículo no aparecen datos de pacientes.
Conflicto de interesesLos autores declaran no tener ningún conflicto de intereses.




