Mujer de 91 años, sin enfermedades crónicas conocidas. Como antecedente de importancia presentaba el diagnóstico de lipoma en la región extensora de la rodilla derecha realizado hace más de 60 años, aunque no aportaba pruebas o informes relacionados con dicho diagnóstico. La paciente consultaba porque dicha lesión había cambiado de color haciéndose más violácea en los últimos meses, había aumentado de tamaño y le impedía arrodillarse con comodidad. A lo largo de todo el proceso de evolución, la tumoración nunca fue dolorosa.
En la exploración física destacaba una tumoración de consistencia blanda de forma cónica con una circunferencia de base de 8cm y una altura de 6cm ubicada por delante del área correspondiente al tendón rotuliano. La tumoración era indolora, aparentemente no dependiente de planos profundos y no presentaba calor local. En su región distal se apreciaba una piel más delgada, violácea y descamada. La paciente señalaba dichos cambios como los que motivaron su consulta (fig. 1).
La movilidad articular de la rodilla no estaba comprometida y sujetando la tumoración; esta no se desplazaba durante la realización del arco extenso-flexor de la rodilla. El resto de la exploración física no fue relevante.
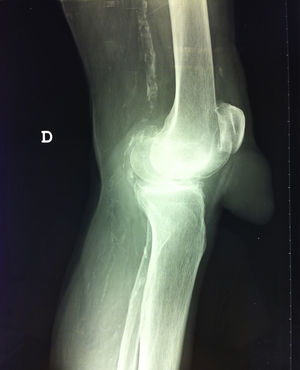
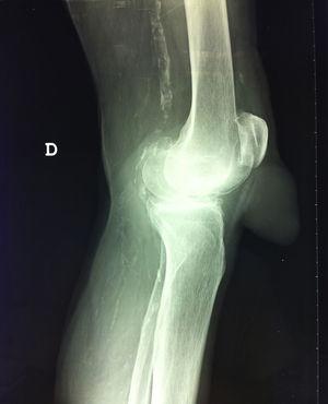
En una exploración radiológica de la rodilla se apreció que la tumoración era dependiente de partes blandas, no presentaba imágenes radioopacas en su interior y que respetaba la integridad del tendón rotuliano. Como otros hallazgos destacaba cierto grado de gonartrosis y la presencia de signos radiológicos de ateromatosis (fig. 2).
El estudio ecográfico de la lesión mostraba un contenido heteroecoico que se desplazaba a la presión ejercida por la sonda o por el examinador. Estudiando el tendón rotuliano por abordajes laterales se demostró su integridad y su ausencia de relación con la tumoración.
Finalmente, se realizó una resonancia magnética (RM) (fig. 3) que confirmó el diagnóstico de tumoración quística sin poder identificar ninguna comunicación patente con la articulación ni con la bursa prerrotuliana, aunque se pudo reconocer un pequeño pliegue no comunicante en la pared posterior de la misma. La anatomía del resto de la rodilla no presentaba alteraciones salvo las propias relacionadas con la edad de la paciente.
En quirófano se realizó una escisión quirúrgica completa de la tumoración previa aspiración con aguja de su contenido (11 cc de líquido de aspecto serohemático). El volumen de líquido obtenido y la pieza quirúrgica fueron enviadas para estudio anatomopatológico. En el parte quirúrgico se informó del hallazgo de una estructura quística extrarticular de 7×7×6cm de pared delgada e íntegra con escasa adherencia a tejidos adyacentes ubicada en posición anterior al tendón rotuliano sin establecer contacto con este ni con la bursa prerrotuliana y que fue extraída en su totalidad. El informe de anatomía patología indicó que la estructura quística estaba revestida por tejido sinovial y el contenido líquido estaba constituido por sinoviocitos, macrófagos, hematíes y líquido sinovial.
Tras la intervención, la paciente retomó sus actividades habituales con normalidad.
ComentariosEl diagnóstico diferencial de los tumores de rodilla incluye el lipoma, hemangioma, el tumor de células gigantes de la vaina de los tendones, el quiste sinovial, los gangliones y la sinovitis nodular localizada1–3. En general, la evolución de estos cuadros es benigna aunque raramente su aparición puede relacionarse con un tumor intra o paraarticular4.
Los quistes sinoviales son entidades habitualmente benignas localizadas fuera de la cápsula articular pero relacionadas anatómicamente con esta por medio de pequeños canales que pueden identificarse permeables u obliterados1,5. En nuestro caso, se identificó un pliegue de la pared posterior del quiste que podría ser la estructura remanente de un canal actualmente obliterado que comunicaba el quiste con la articulación (fig. 3). Los quistes sinoviales se producen por degeneración mucinosa, traumatismos o tumores1. Por cualquiera de estos motivos, ocurre un desplazamiento de líquido sinovial desde regiones de alta a baja presión provocando una progresiva movilización del tejido sinovial y eventualmente la evaginación de este fuera de la cápsula articular2. Una vez que se produce este fenómeno, el líquido puede establecerse o desplazarse desde la articulación al quiste libremente a través de un canal cuya permeabilidad puede ser permanente, episódica o de escasa duración6. El desplazamiento del líquido en uno u otro sentido condiciona que la cavidad aumente o disminuya de tamaño2.
Los gangliones son formaciones quísticas similares a los quistes sinoviales6. Se diferencian en que las paredes de los quistes sinoviales están recubiertas por sinoviocitos, mientras que los gangliones están revestidos por el propio tejido adyacente1,7. Ello hace que la demostración histológica sea fundamental en el diagnóstico definitivo. Ambas estructuras se consideran extra articulares, aunque en raras ocasiones pueden presentarse dentro de la articulación de la rodilla, intrameniscales o paraligamentarios1,8,9.
Aunque la técnica de elección para el diagnóstico de los quistes sinoviales es la RM, la demostración histológica es la prueba definitiva y no debe faltar antes de descartar definitivamente el resto de las posibilidades2.
En cuanto al tratamiento, los quistes sinoviales pueden tratarse realizando una aspiración de su contenido sin requerir más que anestesia local1,9. El inconveniente de esta técnica es que el mecanismo que le da origen puede seguir patente y como consecuencia de ello, el quiste se puede volver a llenar de líquido sinovial en poco tiempo1. La escisión quirúrgica es el tratamiento definitivo6; sin embargo se han ensayados procedimientos que incluyen la aspiración del contenido con aguja y la administración intraquística de sustancias a base de fibrina que condicionan el sellado definitivo de las paredes10.
Responsabilidades éticasProtección de personas y animalesLos autores declaran que para esta investigación no se han realizado experimentos en seres humanos ni en animales.
Confidencialidad de los datosLos autores declaran que han seguido los protocolos de su centro de trabajo sobre la publicación de datos de pacientes y que todos los pacientes incluidos en el estudio han recibido información suficiente y han dado su consentimiento informado por escrito para participar en dicho estudio.
Derecho a la privacidad y consentimiento informadoLos autores han obtenido el consentimiento informado de los pacientes y/o sujetos referidos en el artículo. Este documento obra en poder del autor de correspondencia.






