La osteosíntesis humeral proximal no está exenta de complicaciones (45%1). La infección presenta una frecuencia del 0-4%2,3. Nuestro objetivo es constatar un caso de osteomielitis, tras osteosíntesis y revisar los tratamientos actuales.
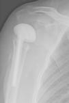
Caso clínicoVarón, 54 años, hepatópata, alérgico a penicilina, que sufre fractura humeral proximal, con angulación cervicodiafisaria de 80° y ascenso troquiteriano de 11mm. Se realiza osteosíntesis con placa Philos (Synthes®) (fig. 1). El paciente comienza la rehabilitación, con arco limitado (60° de abducción activa y 50° de flexión anterior activa), fiebre y seroma en la herida (tamaño ecográfico: 25×12mm), a los 2 meses y 22 días desde la intervención, precisando 2 limpiezas quirúrgicas y toma de cultivos/antibiograma.
DiagnósticoOsteomielitis humeral proximal grado IV B de Cierny-Mader4, por Staphylococcus coagulasa negativo. El antibiograma indicaba sensibilidad a penicilina, cefotaxima, eritromicina, tetraciclina, levofloxacino, vancomicina y cotrimoxazol. Hipercaptación gammagráfica (fig. 2).
EvoluciónDado el agente patogénico, clínica y aumento de velocidad de sedimentación globular (VSG: 140mm/h), retiramos el material y colocamos un espaciador cementado con gentamicina (fig. 3). Se instaura posquirúrgicamente clindamicina por vía intravenosa (i.v.). El paciente estuvo los 3 primeros meses posquirúrgicos con antibioterapia por vía oral (v.o.): levofloxacino 500mg 1/24h v.o. y rifampicina 600mg 1/24h v.o. (considerando la sensibilidad del patógeno y la alergia del paciente a la penicilina). A los 6 meses desde la intervención la infección se controla (VSG: 17mm/h), con arco de 100° (flexión anterior/abducción activas). El paciente rehusó retirarse el espaciador. Al año posquirúrgico, la infección sigue controlada, con arco similar.
DiscusiónAthwal et al.1 recomienda 3,3 lavados para erradicar la infección, consiguiendo 53 puntos en la escala American Shoulder and Elbow Surgeons (ASES), pero con recurrencias del 50%5. Seitz et al.6 recomiendan retirar el material, colocar un espaciador con antibióticos y artroplastia (aunque un 33,3%3 de los pacientes rechazan la artroplastia). Los espaciadores mejorarían la escala VAS (8,4 a 0,5 puntos), flexión anterior (65 a 110°) y escala ASES (16 a 74 puntos)3. Themistocleous et al.7 mantiene el espaciador, erradicando el 81,8% de osteomielitis con resultados del test Dissabilities of Arm, Shoulder and Hand (DASH) de 37,5 puntos. Stine et al.8 los mantienen si hay comorbilidad asociada, aunque controlando la función renal, por el riesgo de insuficiencia3,9.
En conclusión, en los casos de osteomielitis humeral, la colocación de un espaciador cementado sería un tratamiento eficaz para controlar la infección.
Responsabilidades éticasProtección de personas y animalesLos autores declaran que los procedimientos seguidos se conformaron a las normas éticas del comité de experimentación humana responsable y de acuerdo con la Asociación Médica Mundial y la Declaración de Helsinki.
Confidencialidad de los datosLos autores declaran que en este artículo no aparecen datos de pacientes.
Derecho a la privacidad y consentimiento informadoLos autores han obtenido el consentimiento informado de los pacientes y/o sujetos referidos en el artículo. Este documento obra en poder del autor de correspondencia.






